Welcome to the Mohs Mastertech website! If you are in need of a tech to process your mohs cases, look no further, I am here for you.
A homepage section
This is an example of a homepage section. Homepage sections can be any page other than the homepage itself, including the page that shows your latest blog posts.
About
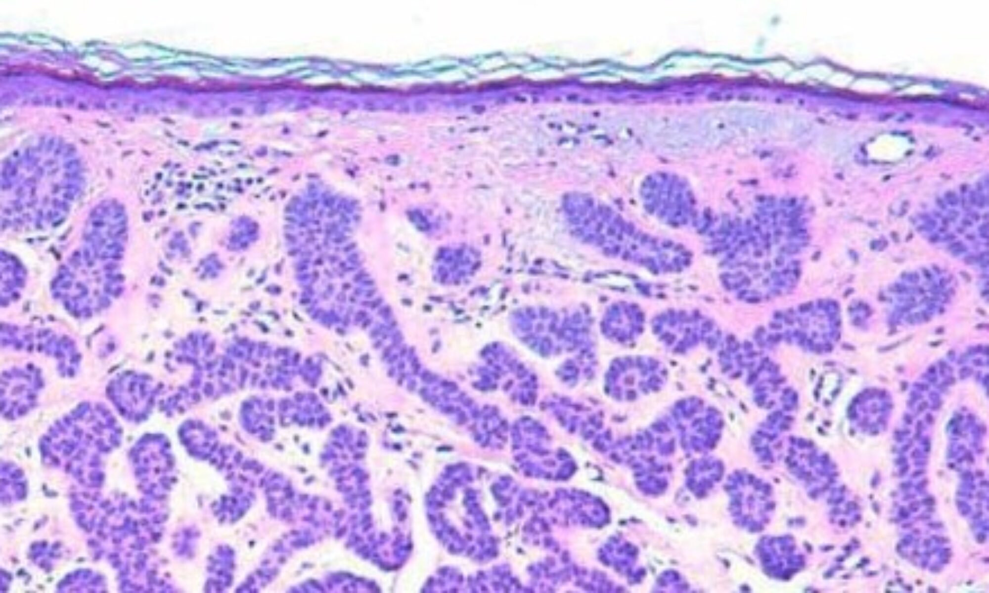
I am a board certified histology technician through the American Society for Clinical Pathology and I am a licensed histology technologist in the state of Florida. I have over 30 years of experience processing Mohs specimens and producing high quality slides at a fast pace without compromising patient care or the diagnostic quality of the slides.
If you are wanting to start a Mohs lab …..
Contact
info@mohsmastertech.com
